時間:2018-05-14 18:01:17來源:本站整理作者:wsl點擊:
我們都知道,適量的氟有防齲作用,但現在我們看到了,氟攝入過量也不好,可引起不良影響甚至氟中毒。那么可以給孩子用含氟的牙膏嗎,孩子用含氟的牙膏會變成氟斑牙嗎,八寶網小編就來說說吧。
氟斑牙就是地區性慢性氟中毒的一種突出癥狀,如果不及時采取措施,除了影響牙齒美觀,甚至還會波及骨骼,致使人的關節僵硬,骨骼變形。
而且氟斑牙不會自愈,反而隨著時間推移,治療難度越來越大,會讓孩子遭受更長時間、更嚴重的困擾。不但影響孩子的身體健康,更容易因為牙齒丑陋導致孩子自卑,甚至影響和其他人的正常交往。
看到這里,估計不少父母不禁要問了:我怎么知道孩子會不會得氟斑牙?氟攝入多少才合適?小編來給大家詳細介紹下。
竟然和氟中毒有關
牙冠最外層的半透明的白色硬組織叫做牙釉質,是人體最硬的組織。
牙釉質形成時期,過量的氟可以使造釉細胞發生腫脹變性和剝離,氟離子更易取代鈣磷離子與釉質結合形成氟磷灰石,造成釉質的鈣化異常。同時,因為鈣化不良的釉質呈多孔性,易于吸附外來色素,如錳、鐵化合物,于是就產生了肉眼可見的氟斑。

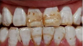
都叫氟斑牙,但根據程度不同,大體可分為三類:
● 輕度——白堊型:有白堊色(不純的白色,或極淺的灰色)條紋或不規則散布的小面積不透明區,但整個面積不超過牙面的1/2。

● 中度——著色型:牙形態無變化,但牙面有廣泛著色,呈茶褐色。

● 重度——缺損型:釉質嚴重發育不全,常有表面形態的改變并伴廣泛著色;顏色可自棕色至灰黑色不等。

因為氟主要在牙釉質鈣化期損害牙胚的造釉細胞,因此,過量的氟只有在牙發育的鈣化期進入人體,才能使釉質結構紊亂、變形和不規則的鈣化,從而發生氟斑牙。
過量的氟是從哪里來的呢?
含氟牙膏:“這鍋我不背!”
氟是可以預防齲齒的。食物殘渣等口腔細菌在碳水化合物代謝過程中釋放出的有機酸,長時間地跟牙齒表面密切接觸腐蝕牙齒。但因為氟可以和牙釉質結合,提高牙齒的抗酸能力,同時能使鈣沉淀在牙表面,使早期的牙齒齲壞得到修復。所以,使用含氟牙膏便成為預防齲病的一個重要環節。

積聚在牙縫的食物殘渣正在腐蝕牙齒

在氟的作用下,牙齒表面能形成保護層。
雖然氟可以預防齲齒,但牙膏中又有多少氟呢?含氟牙膏會造成人體攝入的氟過量嗎?
通常,兒童每天安全的攝氟量為0.05~0.07mg/kg,所以拿15公斤的孩子(3歲左右)來舉例,每天攝入超過1.05毫克的氟即為過量。
一般的兒童含氟牙膏,每克約含0.5毫克氟,如果將兒童牙刷上擠滿牙膏,大約有0.75-1克牙膏,即最多含有0.5毫克氟。如果只擠出黃豆大小的牙膏(大約只占兒童牙刷刷頭長度的一半左右),那么大概只含有0.25豪克氟,所以,孩子正常刷牙時誤吞的氟,是遠遠沒有超出安全范圍的。只要孩子不是拿含氟牙膏當飯吃,就不會有氟中毒問題。
所以,3至6歲的孩子,每次使用不超過黃豆粒大小的含氟牙膏是安全的,6歲以上的孩子刷牙時,才可以模仿電視廣告中的做法,將牙膏涂滿整個刷頭。
那3歲以下的孩子有必要用含氟牙膏嗎?
根據美國牙科協會建議,要根據孩子的具體情況評估孩子的患齲風險,來決定孩子從多大起開始使用含氟牙膏。一般情況是孩子在會漱口后,家長就可以放心給孩子使用含氟牙膏了。
但是3歲以下的孩子,吞咽功能還沒有發育完善,建議使用的含氟牙膏的量更少,每次擠出大約一個米粒大小的牙膏在牙刷上,并將牙膏抹平,以防孩子誤食。也有些孩子患齲的風險很高,甚至1歲多就已經出現齲齒,針對這類孩子就更建議盡早使用兒童含氟牙膏刷牙,但一定要注意用量和刷牙方法以保證安全。

左側是3歲以下孩子含氟牙膏用量,右側是3-6歲孩子用量
網友跟帖
Copyright 2015-2020 8bb.com 〖八寶網〗 版權所有 鄂ICP備19016373號-1
聲明: 本站文章均來自互聯網,不代表本站觀點 如有異議 請與本站聯系 本站為非贏利性網站 不接受任何贊助和廣告
網友評論僅供其表達個人看法,并不表明八寶網立場。