時間:2019-07-05 15:51:18來源:本站整理作者:zl點擊:
子宮方面的疾病問題又很多種類,很女性癥狀差不多,但是做過子宮檢查會發現有很多不同類型的子宮疾病,那么雙角子宮對懷孕有哪些影響 怎么判斷是不是雙角子宮。下面八寶網的小編就來介紹。

子宮是產生月經和孕育胎兒的器官,位于骨盆腔中央,在膀胱與直腸之間。子宮大小與年齡及生育有關,未產者約長7.5cm、寬5cm、厚3cm,子宮可分為底、體與頸三個部分。宮腔呈倒置三角形,深約6cm,上方兩角為“子宮角”,通向輸卵管。下端狹窄為“峽部”,長約1cm。峽部在妊娠期逐漸擴展,臨產時形成子宮下段。
胚胎發育過程中,兩側副中腎管尾端已大部匯合,末端中隔已吸收,故形成一個宮頸及一個陰道,但相當于子宮底的部分匯合不全,導致子宮兩側各有一角突出,稱為雙角子宮。

雙角子宮患者常可出現月經量過多及經期延長,妊娠后可發生流產、早產或胎位異常等情況。
雙角子宮可能導致女性不孕。通常情況下,女性只有一個子宮、一個子宮頸、一個陰道,然而有的女性體內卻存在兩個子宮,這種情況被稱為雙角子宮。

雙側付中腎管尾端已大部分融合,宮底部回合不全,形成左右各一角,稱為雙角子宮。
臨床表現:月經量增多,妊娠期容易造成流產或胎位不正。
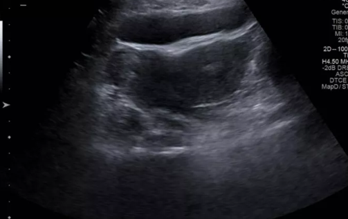
超聲表現:
橫切面子宮橫徑增寬,宮底部中央凹陷,凹陷深度大于宮壁厚度的50%,左右見兩突出的宮角。
宮底部子宮內膜分離,子宮下段至宮頸子宮內膜形態正常。
診斷注意:須注意和子宮肌瘤及卵巢腫物鑒別,特別是一側妊娠時,要注意是否有宮腔線。
雙角子宮與縱隔子宮鑒別:兩者主要是從子宮外形上予以區別,前者宮底較寬,兩宮角有一較深外形似羊角的凹陷,兩側各具一宮腔,典型橫切面為心形凹陷,宮體下段宮頸水平橫切面聲像圖無異常;后者外形正常,但宮底橫徑較寬,其兩側各有一內膜回聲。
網友跟帖
Copyright 2015-2020 8bb.com 〖八寶網〗 版權所有 鄂ICP備19016373號-1
聲明: 本站文章均來自互聯網,不代表本站觀點 如有異議 請與本站聯系 本站為非贏利性網站 不接受任何贊助和廣告
網友評論僅供其表達個人看法,并不表明八寶網立場。