時間:2018-05-14 15:55:19來源:本站整理作者:liliang點擊:
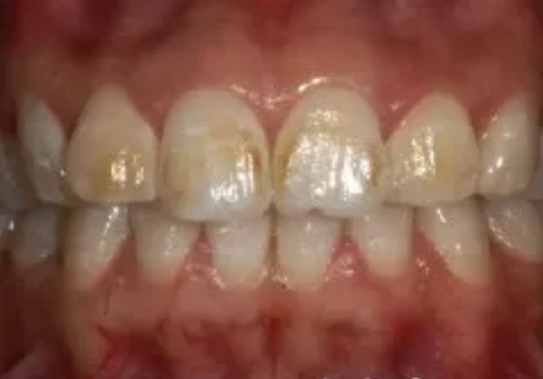
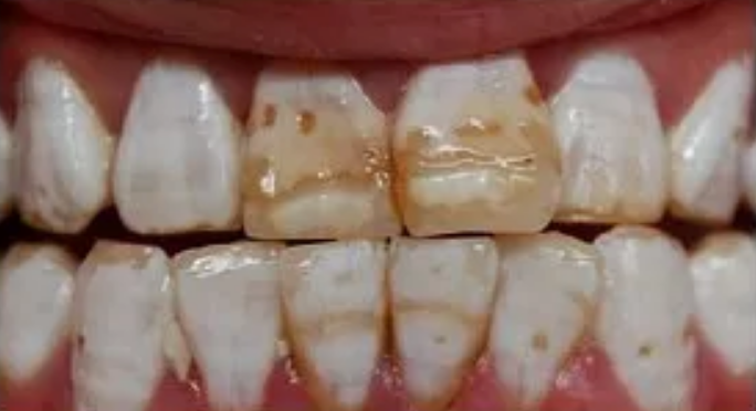
不知道大家是否注意到,有的孩子換牙后,恒牙上會出現一些黃色或褐色斑點,像是色素滲到了牙齒里面,怎么刷也刷不掉,如同布滿了食物殘渣一樣,看著有點礙眼,時間長了還會變本加厲,牙齒變得黑乎乎更難看,還有缺損出現。下面八寶網的小編為大家分享孩子用含氟牙膏會導致氟斑牙嗎,3歲以下的孩子有必要用含氟牙膏嗎大家一起來看吧。

有些家長發現這個問題后總是責備孩子愛吃零食啦,愛喝碳酸飲料啦,不好好刷牙啦……看牙齒出問題了吧!
牙齒“長黃斑”可沒有這么簡單哦,出現這種情況不是孩子不聽話,甚至和刷牙也扯不上關系,而可能是氟攝入過量導致的“氟斑牙”!
我們都知道,適量的氟有防齲作用,但現在我們看到了,氟攝入過量也不好,可引起不良影響甚至氟中毒。

氟斑牙就是地區性慢性氟中毒的一種突出癥狀,如果不及時采取措施,除了影響牙齒美觀,甚至還會波及骨骼,致使人的關節僵硬,骨骼變形。
而且氟斑牙不會自愈,反而隨著時間推移,治療難度越來越大,會讓孩子遭受更長時間、更嚴重的困擾。不但影響孩子的身體健康,更容易因為牙齒丑陋導致孩子自卑,甚至影響和其他人的正常交往。
牙冠最外層的半透明的白色硬組織叫做牙釉質,是人體最硬的組織。

牙釉質形成時期,過量的氟可以使造釉細胞發生腫脹變性和剝離,氟離子更易取代鈣磷離子與釉質結合形成氟磷灰石,造成釉質的鈣化異常。同時,因為鈣化不良的釉質呈多孔性,易于吸附外來色素,如錳、鐵化合物,于是就產生了肉眼可見的氟斑。
都叫氟斑牙,但根據程度不同,大體可分為三類:
輕度——白堊型:有白堊色(不純的白色,或極淺的灰色)條紋或不規則散布的小面積不透明區,但整個面積不超過牙面的1/2。

中度——著色型:牙形態無變化,但牙面有廣泛著色,呈茶褐色。

重度——缺損型:釉質嚴重發育不全,常有表面形態的改變并伴廣泛著色;顏色可自棕色至灰黑色不等。

因為氟主要在牙釉質鈣化期損害牙胚的造釉細胞,因此,過量的氟只有在牙發育的鈣化期進入人體,才能使釉質結構紊亂、變形和不規則的鈣化,從而發生氟斑牙。
含氟牙膏:“這鍋我不背!”
氟是可以預防齲齒的。食物殘渣等口腔細菌在碳水化合物代謝過程中釋放出的有機酸,長時間地跟牙齒表面密切接觸腐蝕牙齒。但因為氟可以和牙釉質結合,提高牙齒的抗酸能力,同時能使鈣沉淀在牙表面,使早期的牙齒齲壞得到修復。所以,使用含氟牙膏便成為預防齲病的一個重要環節。

▲積聚在牙縫的食物殘渣正在腐蝕牙齒

▲在氟的作用下,牙齒表面能形成保護層。
雖然氟可以預防齲齒,但牙膏中又有多少氟呢?含氟牙膏會造成人體攝入的氟過量嗎?
通常,兒童每天安全的攝氟量為0.05~0.07mg/kg,所以拿15公斤的孩子(3歲左右)來舉例,每天攝入超過1.05毫克的氟即為過量。
一般的兒童含氟牙膏,每克約含0.5毫克氟,如果將兒童牙刷上擠滿牙膏,大約有0.75-1克牙膏,即最多含有0.5毫克氟。如果只擠出黃豆大小的牙膏(大約只占兒童牙刷刷頭長度的一半左右),那么大概只含有0.25豪克氟,所以,孩子正常刷牙時誤吞的氟,是遠遠沒有超出安全范圍的。只要孩子不是拿含氟牙膏當飯吃,就不會有氟中毒問題。
所以,3至6歲的孩子,每次使用不超過黃豆粒大小的含氟牙膏是安全的,6歲以上的孩子刷牙時,才可以模仿電視廣告中的做法,將牙膏涂滿整個刷頭。
根據美國牙科協會建議,要根據孩子的具體情況評估孩子的患齲風險,來決定孩子從多大起開始使用含氟牙膏。一般情況是孩子在會漱口后,家長就可以放心給孩子使用含氟牙膏了。
但是3歲以下的孩子,吞咽功能還沒有發育完善,建議使用的含氟牙膏的量更少,每次擠出大約一個米粒大小的牙膏在牙刷上,并將牙膏抹平,以防孩子誤食。也有些孩子患齲的風險很高,甚至1歲多就已經出現齲齒,針對這類孩子就更建議盡早使用兒童含氟牙膏刷牙,但一定要注意用量和刷牙方法以保證安全。

含氟牙膏擺脫了嫌疑,那“真兇”又在哪里呢?常爸查找了相關資料,發現氟具有極強的化學活潑性,廣泛存在于自然界中。氟在火成巖中的含量為0.07%,在沉積巖中的含量為0.065%,另外氟還存在于螢石、冰晶石等礦物質中……
所以,由于地質等原因,完全可以使一個地區含氟過高而成為高氟地區。高氟地區的飲水、食物、土壤、以及大氣中的含氟量都會超標,在這種環境中,如果每人每天攝入體內的氟超過4毫克,氟就會在體內積蓄,時間長了,人和動物就容易出現氟中毒。
其中,飲水是攝入氟的最大來源。飲水和氟斑牙的關系有多緊密呢?《當代礦工》期刊曾發布過相關數據:氟斑牙的發生率與飲水中的含氟量有明顯的相關性, 6-10歲的孩子,飲水中含氟量為 0.5~1.5毫克/升,氟斑牙發生率可達30%; 含氟量為1.5~4毫克/升時,發生率可高達90%。
除了飲水,氟的第二大來源就是燃煤等工業產生的氟化物了,可通過呼吸、燒烤食物等方式進入人體,增加了人體對氟的總攝入量。
了解了這么多,氟這個東西真是讓我們又愛又恨。身體里缺了它吧,容易得齲齒;過量了呢,又容易氟中毒。而且,我們國家竟然有這么多省份都受氟中毒影響,真是讓人緊張感倍增!不過,又轉念一想,生活在高氟地區的人很多呀,也不少每個人都得了氟斑牙啊,所以到底怎么回事呢?

只有在牙發育的鈣化期(乳牙釉質的鈣化期是從孕4個月到寶寶出生后1年;恒牙釉質的鈣化期是從出生到孩子8歲左右)攝入過量的氟,才會影響正常的牙齒發育,導致氟斑牙。而8歲以后,孩子的牙齒已經完全鈣化,過量的氟就很難危害牙齒了。所以,大一點的孩子即使后來搬到高氟地區,也不會得氟斑牙;
另外,同在高氟地區,也不是所有孩子都會得氟斑牙,即便得了氟斑牙,深淺程度也不見得一樣,這是因為氟斑牙顏色的深淺也跟個體敏感性相關,所以相同的氟攝入量,有些人的牙齒表面斑塊顏色深,有些人的斑塊則不明顯。
如此一來,下面的問題就很關鍵了——
如果生在高氟地區,大環境已經如此,怎么做才能預防氟中毒呢?
國家層面目前已經在大規模整治高氟水源,降低引用水的氟含量,并取得了階段性進展。所以,對于個人而言,首先要堅持用改水后的低氟水源。
在燃煤污染型的高氟地區,主要靠改良爐灶,改變烘烤食物和取暖的方法,比如不在煤爐上直接烘烤食物,不敞爐取暖;注意室內煤煙的排放,保證及時煤煙及時排出,避免污染室內食物等。
另外,還可以通過使用純凈水處理器和調整飲食結構,來降低氟中毒風險。食物中的營養元素如鈣、蛋白質等,能夠影響身體對氟的吸收,所以平時可以適量吃些奶類、蝦皮、薺菜、木耳、干果、肉蛋等富含鈣和蛋白質的食物。

網友跟帖
Copyright 2015-2020 8bb.com 〖八寶網〗 版權所有 鄂ICP備19016373號-1
聲明: 本站文章均來自互聯網,不代表本站觀點 如有異議 請與本站聯系 本站為非贏利性網站 不接受任何贊助和廣告
網友評論僅供其表達個人看法,并不表明八寶網立場。